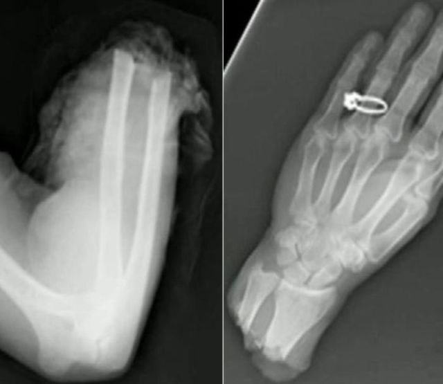
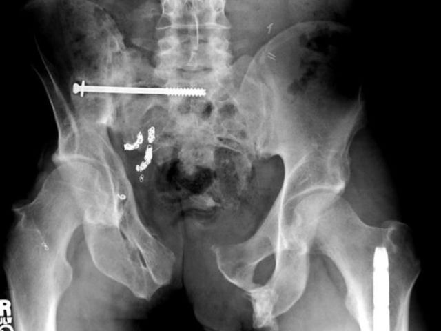
The Most Bizarre Items That Have Gotten Stuck in People’s Bodies (37 pics)

Posted in NSFW       6 Feb 2015       8714       1

These x-rays will make you wonder how this could ever have happened in the first place.

 


1   Comment ?
1
1.
peter.werner.908 10 year s ago
The items are not bizarre at all... car keys, nails, a fork, scissors... nope.. nothing bizarre so far... a goblin on a tiny dragon would've been bizarre indeed..
       
27353641acute
belayclappingdance3dashdirol
drinksfoolgirl_craygirl_devilgirl_witch
goodgreenheartJC-LOLJC_doubledown
JC_OMG_signkisslaughingman_in_lmocking
mr47_04musicokroflsarcastic
sm_80tonguevishenka_33vomitwassat
yahooshoot

Archives

2024
2023
2022
2021
2020
2019
2018
2017
2016
2015
2014
2013
2012
2011
2010
2009
2008

How to comment

NO FUCKING RULES!!!

AdBlock detected! Please disable it to support us.